top of page
20201022-bruxzir-esthetic-8-unit-bridge-sig.png
bruxzir-esthetic-outlined-black(1).png

BruxZir® Esthetic Zirconia

BruxZir ® Estetik Zirkonya, Glidewell'de yıllar süren araştırma ve geliştirmenin mümkün kıldığı yeni bir diş zirkonya kategorisidir.

 

  • Güç ve yarı saydamlığın optimize edilmiş kombinasyonu

  • Ön bölge için tasarlanan gerçeğe yakın canlılık

  • Tahmin edilebilir sonuçlar için gelişmiş renk uyumu

870 MPa

Bükülme Kuvveti 

Bu muazzam bir güçtür. Dişlerinizi uzun yıllar güvenle kullanabileceksiniz.

7 Gün

İşlem Süresi

Tüm işlemleri 7 Gün içinde bitirebiliyoruz. Lyonmed-Glidewell İşbirliği Hızı ! 

Maximum

Beyazlık - Parlaklık

Onlarca renk seçeneği ile dişleriniz beyaz ve sağlıklı haline kavuşacak.

Kalıcı ve Ömürlük Bir Zirkonyuma İhtiyacınız Var Mı ? 

BruxZir Esthetic Zirkonya, Glidewell'de yıllar süren araştırma ve geliştirmenin mümkün kıldığı yeni bir dental zirkonya kategorisidir. Bu birinci sınıf formülasyon, doğal yarı saydamlık, güzel renk uyumu ve olağanüstü güç ile sonuçlanan özel işleme kullanılarak oluşturulmuştur.

BruxZir Esthetic, ortalama 870 MPa'lık bir bükülme mukavemeti sunar ve klinisyenlerin arkın tamamı boyunca monolitik zirkonyadan faydalanmasını sağlamak için orijinal BruxZir Full-Strength Zirkonya ile birlikte reçete edilebilir.

Ölçümler ;

bruxzir-flexural-strength-colloidal-esthetic-chart-040123.png

Yüksek Dayanıklılık ve Darbe Emilim Töleransı ! 

BruxZir Zirconia ailesindeki restoratif formülasyonlar, diğer diş rengindeki seçeneklerden önemli ölçüde daha yüksek bükülme mukavemeti sergiler ve 4 veya daha fazla üniteden oluşan köprüler için ISO 6872:2015 mukavemet tavsiyelerini aşar.

bzfs-bze-colloidal-translucency-vs-full-strength-competitors-040123.png

Işık Geçirgenliği İle Doğal Görünüm ;

BruxZir formülasyonları, diğer zirkonyalarla karşılaştırıldığında sıcak renk dalga boylarında üstün yarı saydamlık sergileyerek hastalar için daha gerçekçi ve doğal görünümlü restorasyonlar sağlar.

Glidewell BruxZir Çalışma Örnekleri ;

lyonmed-zirkonyum-bruxzir.png

Bağcılar'da bir özel diş kliniğinde 4 ay önce diş başı 1300 TL zirkonyum yapıyoruz kampanyası ile dişlerini yaptıran 29 yaşındaki hastamız görünümün kötü olması sebebi ile kliniğimizi ziyaret etti (Solda). Yalnızca üst dişlerde yaptığımız değişiklik (Sağda) Glidewell Zirkonyum kaplamalar ile doğal , efektif ve muazzam bir görünüşe dönüştü. Ucuz olan her şey kötü olacak diye bir kaide tabiki yok ama bir ürün değerinin çok çok altında uygulanıyorsa özellikle sağlık sektöründe mutlaka sorgulamanız gerekir.

2.png

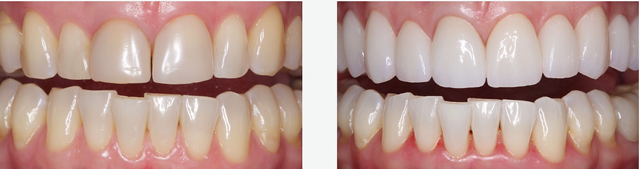
Bu hastanın 8 ve 9 numaralı dişlerinde eskimiş, başarısız restorasyonlar vardı. Taze ve genç bir görünüm arzuluyordu. Endişelerini gidermek ve tedaviyi uzun vadeli başarıya göre konumlandırmak amacıyla, 8 numaralı dişe BruxZir Esthetic kaplama yapılmasına ve üst çene arkına birinci azı dişinden birinci azı dişine kadar Vivaneer BruxZir Estetik Kaplama uygulanmasına karar verildi.

adres-logo

Abide-i Hürriyet Caddesi No 57

Şişli/İstanbul, Türkiye

Ulaşım ;

lyonmed-iletisim-logo

Randevu İçin Bize Ulaşabilirsiniz.

P.Tesi - Pazar 11.30 - 21.00

Çalışma Saatlerimiz

adres-lyonmed

05330867339  /  02126698757

Ulaşım ;

twitter-logo-x
pinterest-lyonmed
facebook-meta-lyonmed
sirona-logo
omnitech-logo
nobel-bio-logo
youtube-lyonmed
mail-lyonmed
instagram-lyonmed
tiktok-lyonmed
mesaj-lyonmed
web-site-lyonmed-net
implance-logo
kuraray-logo
fgm-logo
straumann-logo
Redshift-logo
vita-porselen-logo
bottom of page