Vaka İncelemesi Porselen Kaplamalar
- erenyesilbas1
- 9 Nis 2025
- 2 dakikada okunur
Porselen Kaplamalar İle Gülüş Estetiği Olur Mu ?
Yeni serimiz ''Vaka İnceleme'' makalelerimizde sizlere hastalarımız ile birebir deneyimlediğimiz tedavi süreçleri hakkında bilgi vermek gayretindeyiz. Tabi genel etik kurallar çerçevesinde hasta bilgilerinin detaylarını paylaşamıyor olsakta en azından tedavi süreçlerine dahil gönül rahatlığı ile bilgi verebileceğiz. 02.03.2025 Tarihinde kliniğimizi ziyaret eden hastamız dişlerde şiddetli sızlama , soğuk-sıcak hassasiyeti , yemekleri çiğneyememe ve kötü görünüm gibi şikayetler vardı. Klinik incelemenin ardından hastanın 2 yıl önce yaptırdığı metal destekli porselen kaplamalarda diş eti izolasyonlarının ortadan kalktığı ve diş-diş eti sınırında ciddi açıklıklar meydana geldiği gözlemlendi.
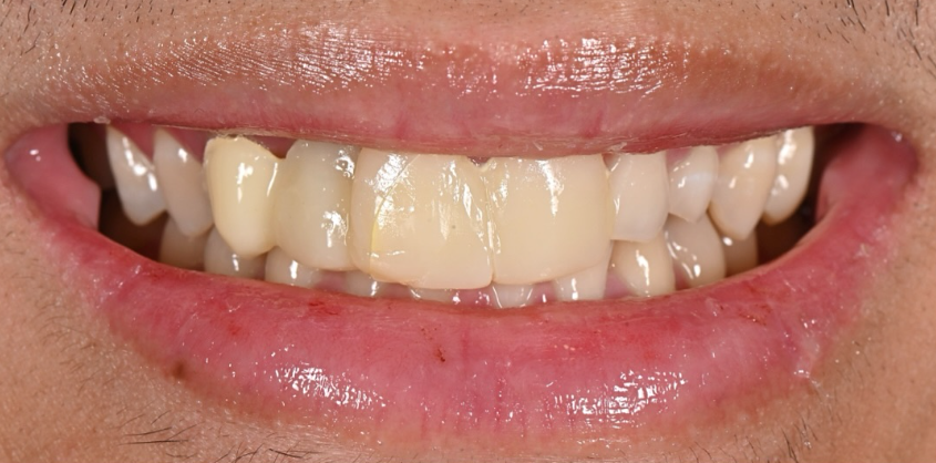
Röntgen ve genel muayenenin ardından tedavi sürecinin başlamasına karar verildi ve normal şartlar altında 4 gün süreceğini ön gördüğümüz tedavi sürecini başlattık. (Görsel 1 / Başlangıç)
Kötü Görünüm Her zaman Tek Sorun Değildir.
Hastayla ilk görüşmelerimiz sırasında şiddetli ağrı konusu en önemli değerlendirme konumuz oldu. Diş kaplamaları prova aşamasında doktorlar tarafınca geçici yapıştırıcılar ile hastanın bir süre denemesi için takılabilir. Bu vakada diş kaplamalarını söktükten sonra ilk gördüğümüz geçici yapışkan artıklarının halen hastanın dişlerinde bulunuyor olmasıydı. Siman dediğimiz bu yapıştırıcılar doğru uygulama yapılmaması halinde gerekli tölerans miktarını aşar ve diş etini itme hareketi sergilerler. Bu hastada da aynı durum gerçekleşerek diş - diş eti açıklığı ortaya çıktığı görüldü. Aynı zamanda dişlerin bir bölümünde diş kronu ( görünen beyaz kısım ) doğru aşındırılmadığı için dişlerin bazılarına diğerlerine kıyasen daha fazla yük bindiği gözlemlendi.

Neler Yaptık ?
Öncelikle ön gördüğümüz 4 günlük tedavi sürecinin bir hayal olduğunu fark ettik. Çünkü önce hastanın kendi dişlerinin tedavilerini tamamlamak durumundaydık. 11-21-23 VE 15 Numaralı dişlerde kanal tedavisi uygulandı. Pin uygulaması ile dişlerin yapısal bütünlüğü sağlandı Ardından tüm dişler tekrar aşındırma yapılarak kaplamalar için hazır hale getirildi. Toplamda 2 dişsiz , 3 dişli prova ile hastamızın Multilayer Zirkonyum kaplamalarının takım işlemini gerçekleştirdik. Geçici yapıştırıcılar ile deneyimleme süreci hastanın vaktinin de çok olmaması sebebi ile 3 gün sürdü. Ardından kalıcı yapıştırma işlemi uygulayarak tedaviyi sonlandırdık.
Sağlıklı Gülüşler Dileriz.




Yorumlar